劲帆Bac/Sf9昆虫杆状病毒系统,通过自主知识产权的基因重组技术,构建整合外源目的基因的重组杆状病毒载体。该重组杆状病毒可高效感染昆虫细胞系,实现生产的稳定线性化放大,有效解决疫苗大规模制备中毒种传代稳定性和产品批间均一性等关键技术难题。
	
	
	
	 
 
	
| Genevoyager Bac/Sf9 | |
| 安全性高 | 杆状病毒无致病性,纯度高,杂质少 | 
| 高效的蛋白表达 | 高产率,高抗原活性,高生产稳定性 | 
| 适用广泛 | 可溶性蛋白、分泌性蛋白、多聚体蛋白复合物、病毒样颗粒(VLP)跨膜蛋白等 | 
| 稳定性高 | 大规模生产批次间稳定性好 | 
| 经济实惠的商业化解决方案 | 降低成本、提高效率 | 
| 简化产品/药品开发流程 | 一站式平台、完善的质量管理体系、丰富的IND申报经验 | 
	
	
	 
 
不同于传统Bac-to-Bac技术,劲帆Bac/Sf9系统赋予重组杆状病毒高效重组效率和优良传代稳定性。该系统解决了Bac-to-Bac的主要挑战,即因杆状病毒传代过程中外源DNA片段的丢失而导致的产量低,批间不一致,以及在大规模生产时间和成本的增加。
	
将分别基于Bac-to-Bac及劲帆Bac/Sf9系统生产的杆状病毒用相同条件进行传代,对多次传代的收获液用相同上样量进行WB检测蛋白表达情况。
	
结果显示,劲帆Bac/Sf9系统蛋白表达稳定性优于Bac-to-Bac系统。
	
	 
 
	
项目案例
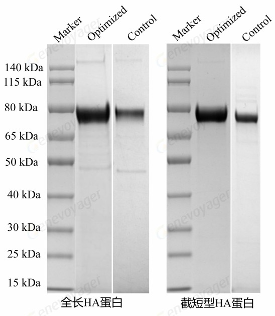
劲帆Bac/Sf9系统已在人用疫苗、动物疫苗的生产中进行测试,展现出高产、快速表达和可规模化生产的优势。
	
	 
 
	
更多信息,请联系globalbd@genevoyager.com
	
疫苗商业化生产解决方案
劲帆医药Bac/Sf9系统
● 为治疗性和预防性疫苗的大规模生产(至2000 L)提供稳定、安全、有效、经济的解决方案,并能快速应对新发传染病。
● 已成功应用于疫苗200LGMP生产,展示出对复杂蛋白的高效表达、批间一致性、高免疫原性等优势。
	
	 
 
 
					地址:中国武汉东湖高新区光谷七路128号 市场:17720522078 人事行政:027-62439686 邮箱:marketing@genevoyager.com
BD:17720514121(BD总监)/ 13886000399(BD经理)/ 17720511475(BD经理)
本公司所有产品仅供实验科研使用,不用于人体疾病治疗及临床诊断。