CDMO服务

专利技术及优势

Home/CDMO服务/重组 预防/治疗 亚单位疫苗(单体/多聚体/VLP)CDMO/专利技术及优势

劲帆Bac/Sf9(Hify-Bac ®)昆虫杆状病毒系统,通过自主知识产权的基因重组技术,构建整合外源目的基因的重组杆状病毒载体。该重组杆状病毒可高效感染昆虫细胞系,实现生产的稳定线性化放大,有效解决疫苗大规模制备中毒种传代稳定性和产品批间均一性等关键技术难题。


劲帆Bac/Sf9(Hify-Bac ®)昆虫杆状病毒系统一站式解决方案

01

高活性、高复杂性抗原如多聚体、VLP,可实现快速化、规模化、低成本化生产,提升合作伙伴产品商业竞争力。










02

劲帆昆虫表达稳定性专利在大规模制备疫苗领域解决了核心挑战,具有巨大优势。





03

构筑行业技术壁垒,提供有价值的产品及解决方案





劲帆Bac/Sf9(Hify-Bac ®)系统助力创新疫苗商业化成功

Genevoyager Bac/Sf9(Hify-Bac ®
安全性高
杆状病毒无致病性、纯度高、无活病原体
高效的蛋白表达 复杂蛋白的正确折叠能力,具备翻译后修饰功能,高免疫原性、高产率、高纯度
适用广泛 可溶性蛋白、分泌性蛋白、多聚体蛋白复合物、病毒样颗粒(VLP)跨膜蛋白等
稳定性高
大规模生产批次间稳定性好
经济实惠的商业化解决方案 降低成本、提高效率
简化产品/药品开发流程
一站式平台、完善的质量管理体系、丰富的IND申报经验

我们的优势

项目案例


高性能稳定性

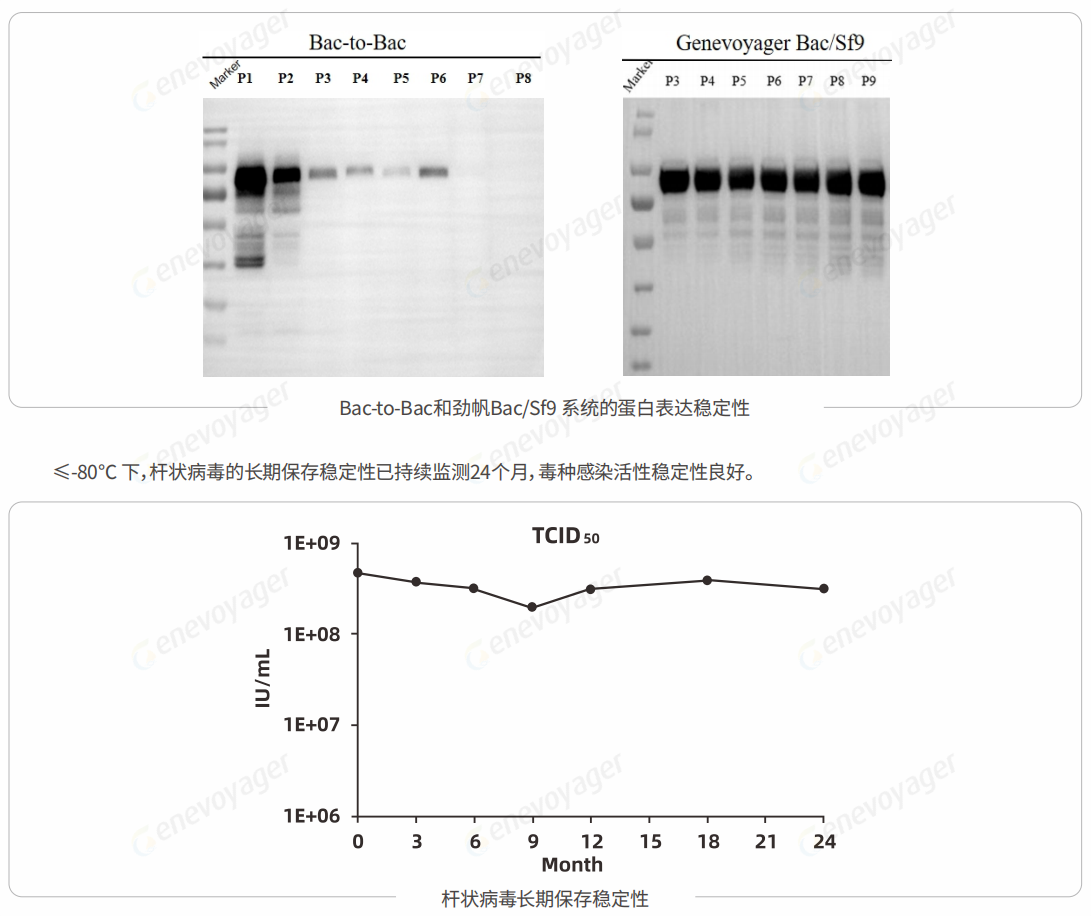
Western Blot结果显示,劲帆Bac/Sf9(Hify-Bac®)平台相较于Bac-to-Bac系统,展现出更优异的杆状病毒稳定性,可在疫苗生产过程中确保稳定的免疫原性与批间一致性。该平台能够提升重组杆状病毒的构建效率、减少蛋白降解,并在异质性极低的前提下提高蛋白表达产量。


Bac-to-Bac和劲帆Bac/Sf9(Hify-Bac®)平台系统的蛋白表达稳定性




长期保存稳定性

≤-80℃下,杆状病毒的长期保存稳定性已持续监测36个月,毒种感染活性稳定性良好。这一特性提升了工艺灵活性,支撑可靠的规模化生产,并保障供应的连续性。

杆状病毒长期保存稳定性



高产率

流感血凝素(HA)蛋白

Bac/Sf9(Hify-Bac®)杆状病毒表达系统可同时用于全长及截短型流感HA蛋白的表达。相较于传统杆状病毒系统,经劲帆优化后的系统可实现更显著、更高的表达产量。


动物疫苗

经过优化后的劲帆Bac/Sf9(Hify-Bac®)系统可实现猪圆环型病毒PCV2和PCV3的高产量表达,其中PCV2表达量最高可达300mg/L,PCV3表达量最高可达150mg/L。




高纯度

VLP生产

劲帆Bac/Sf9(Hify-Bac®)系统通过优化杆粒骨架及目的基因表达盒设计:

● 可显著提升VLP的稳定性、减少降解

 减少杂蛋白含量,提高产物纯度

● 实现VLP产量3倍增长




更多信息,请联系globalbd@genevoyager.com


疫苗商业化生产解决方案

劲帆Bac/Sf9(Hify-Bac ®)系统:

● 为大规模治疗性与预防性疫苗生产(最高可达2000L规模)提供稳定可靠、经济高效且可规模化的解决方案,并能够快速响应大流行病需求。

● 该系统已成功应用于200L GMP级别疫苗生产,在复杂蛋白高效表达、批间性能稳定一致及高免疫原性等方面优势显著。

● 支持中国和美国治疗性疫苗的IIT/IND申报。劲帆Bac/Sf9(Hify-Bac ®)系统已助力乙肝及肿瘤治疗性疫苗等项目,部分项目已获得FDA IND批准并进入I期临床。

更多感兴趣的内容

地址:中国武汉东湖高新区光谷七路128号 市场:17720522078 人事行政:027-62439686 邮箱:marketing@genevoyager.com

BD 商务总台:17720514121 /13886000399(BD 经理) /17720515371(BD 经理)

本公司所有产品仅供实验科研使用,不用于人体疾病治疗及临床诊断。

关于我们 技术平台

地址:中国武汉东湖高新区光谷七路128号 市场:17720522078 人事行政:027-62439686 邮箱:marketing@genevoyager.com

BD 商务总台:17720514121 /13886000399(BD 经理) /17720515371(BD 经理)

本公司所有产品仅供实验科研使用,不用于人体疾病治疗及临床诊断。

© 2023 JinFan All RIGHTS RESERVED . Digital BY VTHINK
鄂ICP备2022017457号  鄂公网安备42018502007184